Vnetje dlesni je ena najpogostejših težav v ustih. Začne se tiho. Malo rdečine. Malo krvi na ščetki. Potem pa pride zadah, občutljivost in neprijeten pekoč občutek.
Dobra novica: vnetje dlesni se v zgodnji fazi pogosto umiri, ko se odstrani obloge in se izboljša rutina nege. Slaba novica: če se znaki ignorirajo, se lahko stanje poglobi in preide v naprednejšo obliko bolezni obzobnih tkiv.
Kaj je vnetje dlesni in zakaj nastane

Vnetje dlesni (gingivitis) je vnetje roba dlesni ob zobu. Najpogosteje ga sproži zobni plak, mehka bakterijska obloga, ki se nabira ob robu dlesni in med zobmi. Ko se plak nabira, dlesen reagira z vnetjem.
Če se obloge sčasoma strdijo v zobni kamen, jih doma ni več mogoče odstraniti. Takrat je potreben profesionalni poseg pri zobozdravniku ali ustnem higieniku.
Poleg higiene lahko tveganje povečajo kajenje, stres, hormonske spremembe (npr. nosečnost), določena obolenja in pomanjkanje nekaterih hranil.
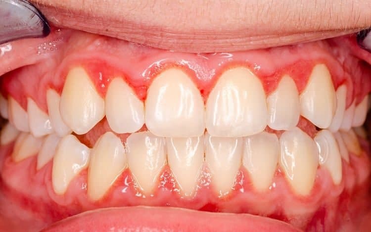
Kako prepoznati, da gre za vnetje dlesni
Najbolj tipični znaki so:
- krvavenje pri ščetkanju ali čiščenju medzobnih prostorov
- rdeče, otečene ali občutljive dlesni
- trdovraten slab zadah
- bolečina ali neprijeten pritisk ob robu dlesni
Pri hujših stanjih se lahko pojavi izcedek ob zobu ali občutek “napihnjene” dlesni. Če opaziš gnoj, večjo oteklino ali močno bolečino, to šteje kot opozorilni znak za hiter pregled.
7-Dnevni načrt, ki v praksi najbolj pomaga
Spodnji koraki so osnova, ki jo omenja veliko zobozdravstvenih virov, vendar jo je smiselno izvesti bolj natančno in dosledno.
1) Ščetkanje dvakrat na dan, pošteno in nežno
Uporabi mehko ščetko. Postavi jo pod kotom proti robu dlesni in delaj kratke, nežne krožne gibe. Ne pritiskaj. Močan pritisk dlesni draži in poslabša stanje.
Ščetkaj vsaj 2 minuti. Po ščetkanju izpljuni pasto, ne spiraj z vodo, da fluor ostane dlje na zobeh.
Menjaj ščetko redno (pogosto 1 do 3 mesece, ali prej, če se ščetine razprejo).
2) Čiščenje med zobmi vsak dan
Vnetje dlesni se zelo pogosto začne tam, kjer ščetka ne doseže. Zato je čiščenje medzobnih prostorov ključ.
- Zobna nitka je dobra za tesne stike.
- Medzobne ščetke so pogosto še bolj praktične, posebej pri večjih prostorih ali ob protetičnih delih.
Kombinacija ščetkanja in čiščenja med zobmi praviloma bolje zmanjša obloge in znake vnetja kot ščetkanje samo.
3) Ustna voda: pametno in ob pravem času
Ustna voda ni nadomestilo za mehansko čiščenje. Lahko pa pomaga kot dodatek.
Pomembno: ne uporabi ustne vode takoj po ščetkanju. Če jo uporabiš, jo prestavi na drug del dneva, na primer opoldne ali po čiščenju med zobmi.
Pri izrazitejših znakih se v praksi pogosto uporablja klorheksidin kot kratkotrajna pomoč. Lahko zmanjša plak in gingivitis, vendar se navadno priporoča omejen čas uporabe, ker lahko povzroča obarvanje zob in spremembo okusa. Najbolje po dogovoru z zobozdravnikom.
4) Slana voda in žajbelj kot kratka podpora
Domača pomoč, ki se pogosto omenja: izpiranje s toplo slano vodo ali žajbljevim poparkom. To ne odstrani zobnega kamna, lahko pa začasno pomiri razdraženo tkivo in olajša neprijeten občutek.
Priprava slane vode: čajna žlička soli v kozarcu tople vode. Izpiraj 30 do 60 sekund, nato izpljuni. Ne pretiravaj, cilj je nežna podpora, ne “razkuževanje na silo”.
5) Hrana, pijača in navade, ki stanje pogosto poslabšajo
V času, ko je vnetje dlesni aktivno, pomaga:
- zmanjšati sladke prigrizke in pogosto grizljanje
- paziti na zelo kislo ali pekočo hrano, če povzroča pekoč občutek
- izogibati se kajenju, ker je močan dejavnik tveganja za bolezni dlesni
Kdaj je čas za zobozdravnika
Če domači ukrepi ne prinesejo jasnega izboljšanja v 7 do 10 dneh, se naroči na pregled. Doma ne moreš odstraniti zobnega kamna in skritih oblog pod robom dlesni.
Takojšen pregled je smiseln, če se pojavi:
- gnoj ob zobu
- večja oteklina ali širjenje bolečine
- majanje zob, izrazito umikanje dlesni
- povišana temperatura ali splošno slabo počutje
- nosečnost ali sladkorna bolezen, ker se tveganja in potek vnetij lahko spremenijo
Zobozdravnik ali ustni higienik običajno oceni stanje dlesni, globino žepkov in po potrebi opravi profesionalno čiščenje. Pri hujših vnetjih presodi tudi o dodatnem zdravljenju.
Kako preprečiti, da se vnetje dlesni vrača

Ko se stanje umiri, največ naredi doslednost:
- ščetkanje 2-krat dnevno s fluoridno pasto
- vsakodnevno čiščenje med zobmi
- redni pregledi in profesionalna čiščenja po dogovoru
Če se ti vnetje dlesni ponavlja na istem mestu, je pogosto kriv “detajl”: neustrezen prostor za medzobno ščetko, zobni kamen tik pod robom, slabo prilegajoča plomba ali krona. Takrat rutina doma ni dovolj. Potreben je pregled.
Kratek povzetek
Vnetje dlesni se najhitreje umiri, ko se plak začne odstranjevati vsak dan, brez agresivnega drgnjenja. Dvakrat dnevno nežno ščetkanje, vsakodnevno čiščenje med zobmi in pametna uporaba ustne vode so glavni stebri. Če v 7 do 10 dneh ni napredka, naj vodi naslednji korak zobozdravnik.



