Od kompleksnega primera do naravnega nasmeha
Kombinacija implantatov in cirkonijevih kron za brezhibno funkcijo in estetiko.
Ko nasmeh ne pomeni več le estetike — ampak postane zaupanje v življenje.
Ko je naša pacientka prvič prišla v Orto Novo, je imela za seboj leta iskanja trajne in estetsko zadovoljive rešitve. Zobje so bili obrabljeni, ugriz znižan, nasmeh pa ni več odražal tega, kar je čutila v sebi — mladost, vitalnost in polnost življenja.
Naša naloga je bila preprosta, a zahtevna: povrniti funkcijo, estetiko in samozavest.
Multidisciplinarna ekipa za celovito rešitev
Takšni primeri zahtevajo več kot enega strokovnjaka.
Na istem mestu sodelujejo implantolog, protetik, parodontolog, ortodont in dentalni tehnik, pri čemer ima vsaka odločitev skupni cilj – trajnost, estetiko in funkcionalnost.
Takšen pristop omogoča, da pacientu ni treba obiskovati več klinik, temveč lahko celotno terapijo opravi na enem mestu, v znanem in varnem okolju.
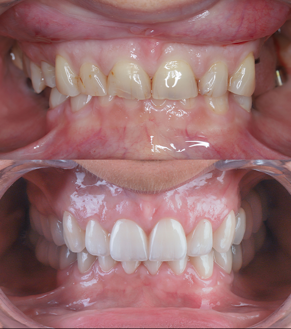
Rekonstrukcija nasmeha korak za korakom
S pomočjo digitalnega načrtovanja je bilo izdelanih 17 cirkonijevih posameznih kron in vgrajenih 6 implantatov. Ugriz je bil skrbno dvignjen in uravnotežen, s čimer smo povrnili naravno podporo obrazu in stabilno funkcijo. Zaradi odlične ustne higiene pacientke je bilo mogoče izdelati posamezne krone brez dodatnih invazivnih posegov.
Vsaka krona je bila individualno oblikovana, z niansami in oblikami, ki popolno sledijo potezam obraza in naravnemu tonu kože.
Nov nasmeh – nov začetek
Ko je pacientka prvič pogledala svoj novi nasmeh, so čustva povedala vse.
Nasmeh, ki ga zdaj vidi v ogledalu, je videti naraven, skladen in — končno — takšen, kot si je od nekdaj želela počutiti. Največje zadovoljstvo nam je videti pacienta, ki se spet smeji brez zadržkov. Zahvaljujoč digitalni tehnologiji in našemu laboratoriju lahko danes vsaka rekonstrukcija izgleda in deluje popolno.
Center odličnosti za kompleksne implantološke posege
✅ 99,9 % uspešnosti implantoloških posegov
✅ Multidisciplinarna ekipa specialistov (oralna kirurgija, protetika, dentalna tehnologija)
✅ Lastni laboratorij – natančnost, hitrost in nadzor vsake faze
✅ Edinstven protokol za kompleksne primere – začasni zobje isti dan
✅ Digitalno načrtovanje za popolno natančnost in estetiko
Vse na enem mestu
Če imate tudi vi kompleksen primer, obrabljene zobe ali želite nasmeh, ki izgleda popolnoma naravno — v Orto Novi je vse mogoče.
Naši strokovnjaki vas vodijo od prvega pregleda do končnega rezultata, z natančno in skrbno obravnavo v vsaki fazi.
Zaprosite brezplačen posvet in odkrijte, kaj lahko moderna zobozdravstvena medicina danes stori za vaš nasmeh.
Pošljite nam sporočilo
Nikoli ne obupajte nad zdravim in lepim nasmehom!
Ne glede na stanje v vaši ustni votlini bomo v Orto Novi našli rešitev za vse vaše zobozdravstvene težave in vam vrnili nasmeh hitreje, kot bi pričakovali.



